Skip Menu
Continue
  • 307 Magnolia Blvd
  • Long Beach, NY 11561
  • Call Us Today! (516) 431-5858
  • Home
  • About Us
    • Our Office
    • New Patients
    • Smile Gallery
    • Dental Videos
    • Testimonials
  • Our Doctor
    • Marc Lapinel, DDS
  • Services
      • ClearCorrect ®
      • Dental Bonding
      • Dental Bridges
      • Dental Fillings
      • Dental Implant Restorations
      • Dentures
      • Emergency Treatment
      • Extractions
      • Implant Dentistry
      • Oral Exams
      • Pediatric Dentistry
      • ARESTIN® Periodontal Treatment
      • Preventive Program
      • Root Canals
      • Zoom! Whitening
      • Veneers
    • View All
  • Dental Health
  • Contact
    • Contact Us
    • Request Appointment

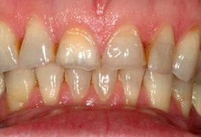
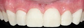
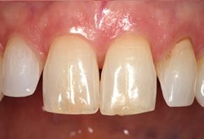
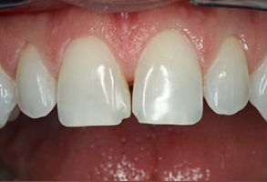
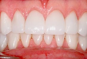
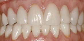
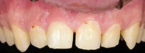
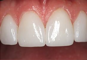
Smile Gallery

Additional Information

Our Location

307 Magnolia Blvd
Long Beach, NY 11561
(516) 431-5858

Follow Us